When children were killed in school from gun shootings 'they' banned guns in school. When 25 children died from acidic school vaccines 'they' don't ban vaccines?
CNN - 3 hours agoAll five children had been vaccinated against the poliovirus. ... get sick or experience only mild symptoms, said Dr. Steven Oberste, chief of the ... |
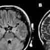
Mysterious polio-like illness paralyzes Californian children ...
www.dailymail.co.uk/news/.../Fear-mysterious-polio-like-illness-paralyzes- Calif...
2 days ago ... ... An unknown illness has affected up to 25 children in California;www.dailymail.co.uk/news/article-2567288/Polio-like-...
1 day ago
Sofia Jarvis, from Berkeley, California, was struck down by the disease ... Jeff Jarvis during a ...
0 comments :
Post a Comment